Skip to content Skip to sidebar Skip to footer

Widget HTML #1

How To Stop Dog Gum Bleeding - She won't let me brush her teeth.

How To Stop Dog Gum Bleeding - She won't let me brush her teeth.. To care for a dog bite injury at home: Tartar buildup how do dogs get gingivitis? Here's how you may use calendula to get rid of gum disease in dogs: The powder will help to stop the bleeding so you can examine the toe for additional injuries. Dog mouthwash can be used to keep a dog's oral health in good shape.

Constant bleeding from the gums is not normal and not that easy to stop. Dog's and their precious chompers go together like pb&j. If the bleeding is caused by an injury to the actual eye ball, such as a penetrating foreign object, or if the bleeding is profuse, take the dog to the vet immediately. If your dog's gums bleed during or after brushing, it's important to schedule an appointment with your vet. If your dog has a small wound, cover it with a clean piece of medical gauze.

Dog Gums Bleeding When Brushing Northgate Vet
Dog Gums Bleeding When Brushing Northgate Vet from northgatevet.com
To check your dog's breath, pull back a lip and smell. Constant bleeding from the gums is not normal and not that easy to stop. Here's how you may use calendula to get rid of gum disease in dogs: How do you get a dog's bite to stop bleeding? This is why we need to make a habit of brushing them often. The dog can get antibiotics and he will gradually lose his teeth. Apply direct pressure on the wound by using sterile gauze pads. Fortunately, it's often possible to stop bleeding gums without even visiting a dentist.

Stage 3 of periodontal disease in dogs.

Your gums may also bleed from trauma or an injury to the gum tissue. If you trim your dog's nails regularly, you should have this on hand during nail trim sessions. Put one tablespoon of dried calendula flowers in a cup and pour boiling water in it. Constant bleeding from the gums is not normal and not that easy to stop. Place a clean towel over the injury to stop any bleeding. She shies away when i try to touch her mouth or gums, and she. Chew toys, aids and dog gum disease home treatment Dog's and their precious chompers go together like pb&j. Bleeding gums is a painful condition for dogs, but it can be prevented by practising good dental hygiene. The best way to prevent gingivitis in dogs is to provide them with a proper oral hygiene routine. Feeding your dog soft food that is easy to chew will allow the mouth wound to heal more quickly, and making fresh water available at all times will reduce the buildup of food or other debris in your dog's mouth. How do you get a dog's bite to stop bleeding? Receded gums may or may not be present.

Caring for your dog's teeth doesn't have to be difficult or costly. Dogs get gingivitis in the same way people do: So, what causes poor oral health in the first place? This dog has a bit of tartar and gum inflammation, and likely some bad breath. Internal bleeding is not as easy to detect as external bleeding, as it occurs inside the dog's body and cannot be seen.

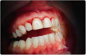
How To Stop Teeth Bleeding Immediately Arxiusarquitectura
How To Stop Teeth Bleeding Immediately Arxiusarquitectura from i2.wp.com
To care for a dog bite injury at home: The main reason dogs gums bleed while brushing their teeth is because of inflamed gums. Diet fight dental disease in dogs with better. You can have breezy breath, strong and white teeth by trying the product i use to achieve. The powder will help to stop the bleeding so you can examine the toe for additional injuries. Keep reading to learn how you can keep your dog's mouth happier like the dog in the first picture. If the cause is determined to be purely periodontal in nature, then your veterinary professional will recommend appropriate veterinary dental care by a veterinary professional who is trained to do it. How do you get a dog's bite to stop bleeding?

Blood loss from any place, particularly from an orifice, that does not stop requires immediate attention from a professional who will be able to.

To check your dog's breath, pull back a lip and smell. Receded gums may or may not be present. If you trim your dog's nails regularly, you should have this on hand during nail trim sessions. The main reason dogs gums bleed while brushing their teeth is because of inflamed gums. This dog has a bit of tartar and gum inflammation, and likely some bad breath. If the cause is determined to be purely periodontal in nature, then your veterinary professional will recommend appropriate veterinary dental care by a veterinary professional who is trained to do it. Ideally, you are supposed to brush your dog's teeth twice a day. Gums that bleed during brushing or chewing. Bleeding gums is a painful condition for dogs, but it can be prevented by practising good dental hygiene. This is why we need to make a habit of brushing them often. Apply constant pressure to the wound for up to 20 minutes to slow or stop the bleeding. If your dog has a small wound, cover it with a clean piece of medical gauze. Also, bleeding may reoccur when the dog walks on the leg.

If the dog has suffered from an injury, the bleeding can be stopped by applying pressure on the affected areas and by fixing the problem. It's normal for plaque to form on a dog's teeth. Dental health supplement steel bite pro for whiter, healthy and clean teeth. To check your dog's breath, pull back a lip and smell. Minor tears will stop bleeding in a matter of minutes, but deeper wounds take longer to stabilize.

More Vitamin C May Ease Bleeding Gums Futurity
More Vitamin C May Ease Bleeding Gums Futurity from www.futurity.org
Dogs get gingivitis in the same way people do: Apply firm but gentle pressure, and allow it to clot. Diet fight dental disease in dogs with better. The dog can get antibiotics and he will gradually lose his teeth. Put one tablespoon of dried calendula flowers in a cup and pour boiling water in it. Fortunately, it's often possible to stop bleeding gums without even visiting a dentist. On the other hand, please don't rely on biscuits and bones to do the job because they simply do not work (unless feeding a raw diet that includes bones). Next, use a clotting powder (styptic is best) to stop the bleeding.

See if the mixture cools down and dip a cotton swab in it.

If you trim your dog's nails regularly, you should have this on hand during nail trim sessions. See if the mixture cools down and dip a cotton swab in it. Dogs get gingivitis in the same way people do: On the other hand, please don't rely on biscuits and bones to do the job because they simply do not work (unless feeding a raw diet that includes bones). Receded gums may or may not be present. She won't let me brush her teeth. Your gums may also bleed from trauma or an injury to the gum tissue. This is why we need to make a habit of brushing them often. The main reason dogs gums bleed while brushing their teeth is because of inflamed gums. Place a clean towel over the injury to stop any bleeding. Apply firm but gentle pressure, and allow it to clot. You can use nylon leashes or large triangle bandage to wrap around your dog's muzzle to still allow him to breathe but not to bite. Bleeding dog gums and red gums are associated with inflammation and gingivitis.